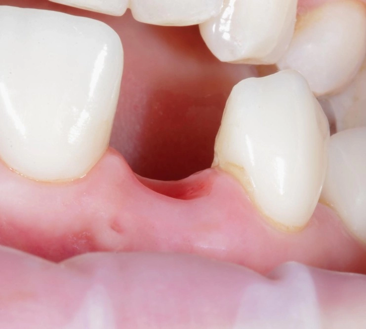
Что может спровоцировать альвеолит
Смещение кровяного сгустка, ровно как и его отсутствие, позволяет бактериям и инфекциям беспрепятственно проникать вглубь раны и провоцировать воспаление. Сгусток может быть смещён механически, если ротовую полость прополоскали, либо в процессе приёма пищи задели пострадавшую область. Либо же он может рассосаться из-за аномалий свёртываемости крови, поэтому важно рассказывать лечащему врачу о своих диагнозах и принимаемых лекарственных препаратах, поскольку рассосаться кровяной сгусток может в результате приёма фибринолитиков.
Сахарный диабет, иммунодефицит, приём оральных контрацептивов — Сахарный диабет влияет на свёртываемость крови, а иммунодефицитные состояния — на содержание в ней лейкоцитов и тромбоцитов, которые отвечают за ответ иммунной системы на воспалительные процессы и затягивание ран. Эстроген, содержащийся в ОК, косвенно увеличивает фибринолитические свойства, то есть разжижает кровь, и сгусток может попросту не сформироваться, либо распасться.
Хирургические травмы во время сложного удаления с сегментацией зуба. Зубы со сложной корневой системой хирургически фрагментируют для менее травмоопасной экстракции. В ходе разделения в десне могут оставаться осколки кости, которые в дальнейшем способны вызвать воспаление.
Удаление зуба мудрости. В дальних отделах челюсти, где и расположены зубы мудрости, у костной ткани нарушены процессы васкуляризации, и возникает эффект “сухих” лунок, соответственно, кровяные сгустки зачастую попросту не формируются.
Курение. Продукты распада при горении табака повышают риск воспаления в 5 раз.
Избыточное применение анестетиков (особенно с высокой концентрацией вазоконстриктора) провоцирует ишемию и затрудняет заполнение лунки кровью.
Возраст. С возрастом в организме возникают процессы, затрудняющие регенерацию и увеличивающие процесс реабилитации.
Какие профилактические меры можно принять для минимизации риска альвеолита?
Во-первых, следует серьёзно отнестись к опросу врача в момент диагностики. Следует честно отвечать на все его вопросы, чтобы стоматолог смог понять, существуют ли факторы, серьёзно влияющие на риск развития болезни. Нужно постараться вспомнить, какие лекарственные препараты вы принимаете или принимали недавно. Также честно рассказать о болезнях и предрасположенностях.