Многопрофильный стоматологический центр
г. Москва, Лазоревый проезд, д. 5, корп. 4
Работы врачей

Работы врачей стоматологического центра

Комплексная реставрация винирами E-max на верхней и нижней челюсти

Проведена полная эстетическая реставрация зубных рядов верхней и нижней челюстей винирами E-max. Восстановлена форма, размер, цвет и поверхность фронтальных зубов, достигнута гармоничная улыбка.

Оказанные услуги

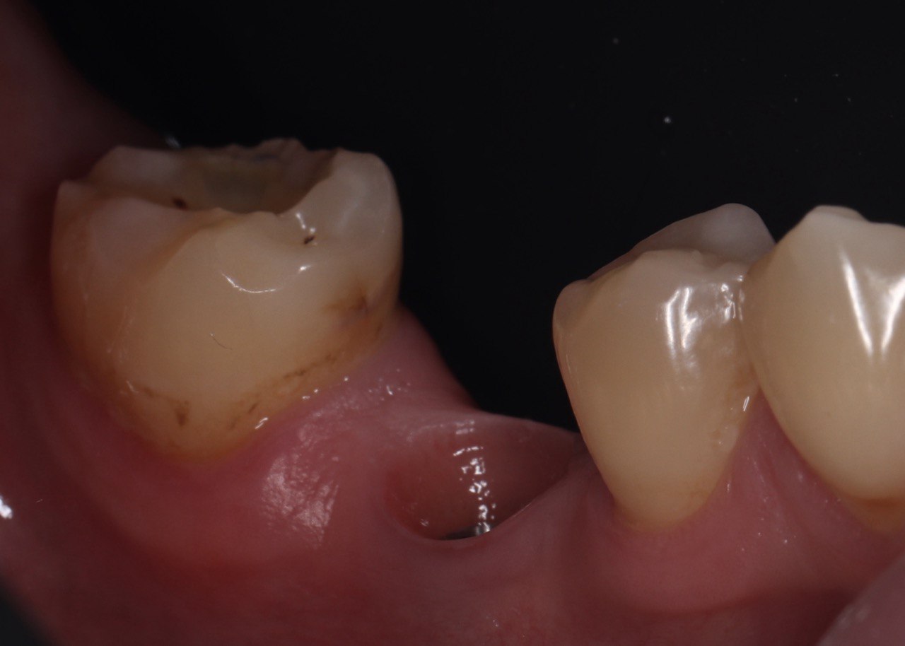
Циркониевая коронка на имплант

Пациенту поставлена циркониевая коронка на имплант с винтовой фиксацией. В результате восстановлены эстетика и жевательная функция, возвращено привычное качество жизни.

Оказанные услуги

10 керамических виниров E-MAX цвета блич (Bleach)

Пациентка обратилась с жалобой на неудовлетворительную форму зубов и дисколорит. Перед началом лечения проведена HD-консультация и выполнено цифровое моделирование для показа будущего результата. В ходе лечения были изменены положение, формы и цвет зубов. Установлено 10 керамических виниров E-MAX цвета блич (Bleach).

Оказанные услуги

Виниры из цельной керамики E-Max для зоны улыбки

Пациент обратился с жалобами на эстетику фронтальной группы зубов: потемнение, дефекты эмали, неровность режущего края и передних стенок зубов. Был установлен комплекс цельнокерамических виниров на всю зону улыбки верхней челюсти.

Оказанные услуги

Комплекс виниров E-max на верхнюю и нижнюю челюсть

Проведена эстетическая реставрация передних зубов верхней и нижней челюстей винирами E-max. Исправлены форма, размер и восстановлена поверхность зубов.

Оказанные услуги

Комплекс виниров E-Max за 1 день

Пациентка обратилась к стоматологу из-за неудовлетворительной эстетики зубов. Была проведена HD-консультация, диагностика, 3D моделирование результатов предстоящего лечения. За 1 день было изготовлено и установлено 10 виниров из керамики E-Max на Cerec.  Исправлен цвет, положение зубов + коррекция десны.

Оказанные услуги

Керамические виниры на верхнюю и нижнюю челюсть

Пациенту установлены виниры из керамики E-Max во фронтальную зону на обе челюсти.

Оказанные услуги

Восстановление зубов цирконием протезом после лечения

Проведена санация полости рта (удаление корней, лечение зубов) с последующей фиксацией циркониевых конструкций. Эстетика зубного ряда восстановлена.

Оказанные услуги

Установка 4-х виниров E-max в один день

Пациенту изготовлены и установлены 4 винира E-max по технологии CEREC за одно посещение. Восстановлена эстетика и форма зубов.

Оказанные услуги

Восстановление эстетики улыбки винирами E-max

Пациенту были изготовлены и установлены 10 керамических реставраций E-max на цементной фиксации. В результате восстановлена эстетика и форма зубов.

Оказанные услуги